
Smile Transformations
Dental Treatment Journies
Experience Smile Transformations With Health Centered Dentistry
Do you want a beautiful, healthy smile but are anxious about going to the dentist? Dental treatment is daunting for many people and can keep them from getting the dental care they need to achieve optimum oral and whole-body health. Join us as we follow Mike Ford on his journey of overcoming his dental anxiety and achieving a smile he’s proud of.
Meet Mike Ford (AKA “Mike in the Morning” Ford)
If you listen to KOOL 97.3 in the morning, then you’ve already met our patient, Mike Ford. Mike began his broadcasting career many years ago in Nome, and he has enjoyed entertaining Alaskans on the radio ever since.
The Beginning of Mike’s Journey
2019 marked the beginning of Mike’s dental treatment journey. For years, Mike struggled with dental anxiety that stemmed from negative experiences he had in the past. By the time he came to Health Centered Dentistry, he knew he needed extensive treatment to improve his oral health and meet his smile goals.
Our first priority was to ensure that there were no signs of infection in the teeth and gums. Next, we addressed the foundation of his mouth achieving gums and periodontal health. From here, we can consider other restorative and cosmetic dental treatments.

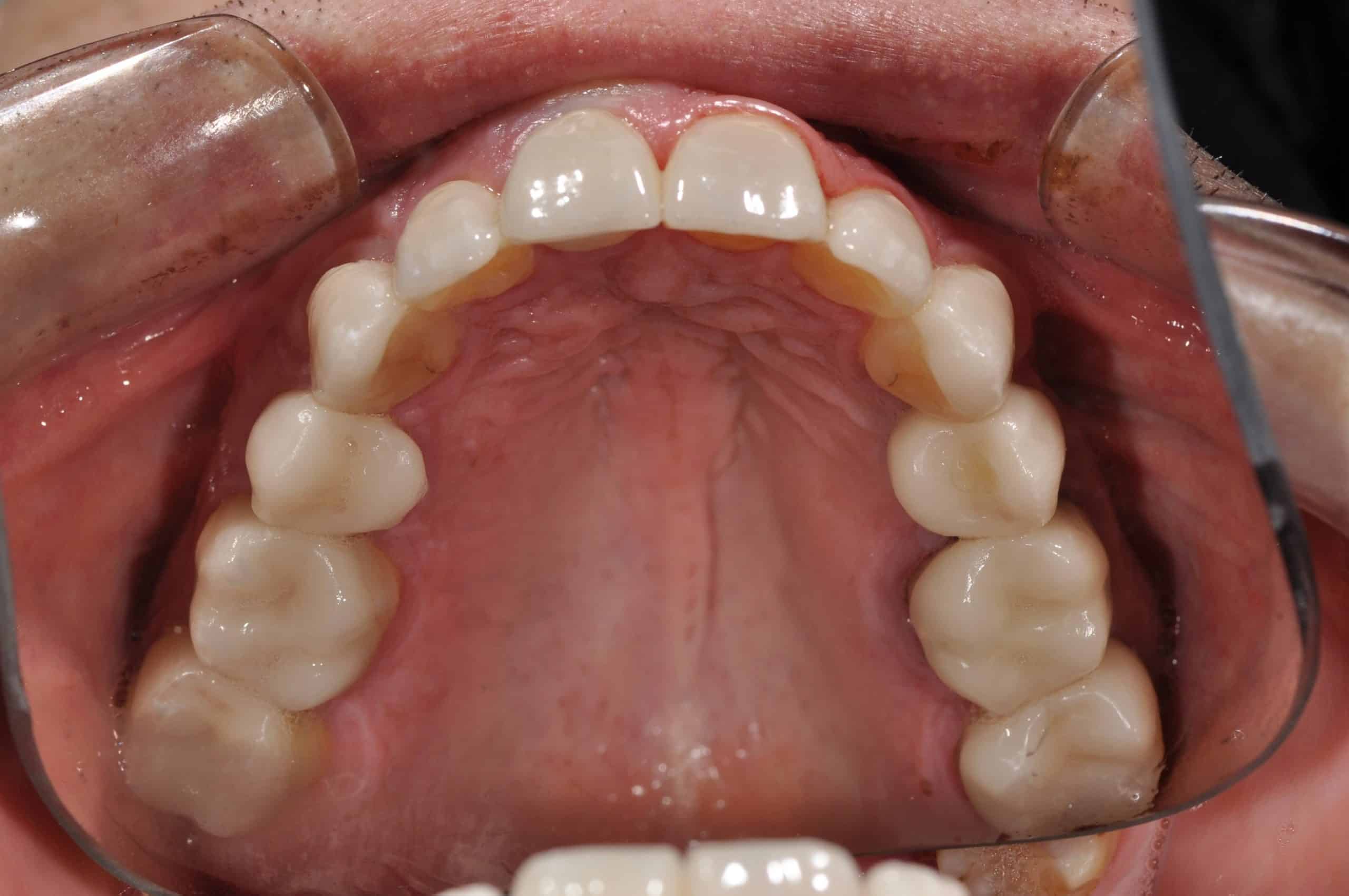
Before & After Treatment
The following pictures depict Mike’s smile transformation. The first photo was taken at the initial comprehensive exam in December 2018 and the second during his surgery post-op appointment.


Smile Phases
A perfect smile rarely happens in one visit. We start with a comprehensive initial visit to get the full picture of your dental health and determine the time required to help you reach your smile goals. If you’re ready to achieve your own smile transformation, this is what you can expect from our dental treatment process.
Initial Consultation
You’ll meet your dental care team and get a full introduction to our office space. We’ll take time to listen to your concerns, discuss your dental health, and establish your dental goals.
Gum Evaluation
We need to ensure your gums are clean, healthy, and strong enough for future treatments and procedures. We’ll categorize your gums into three categories: healthy, gingivitis, and periodontitis.
Pre-Op
A more extensive treatment requires extra planning and prep to ensure things go smoothly on the day of surgery. We’ll meet with you beforehand to discuss and plan as needed.
Surgery
We’ll make your surgery experience as comfortable as possible with IV sedation and simple post-op instructions. A smile transformation may include procedures like implants and tissue grafts.
“This is, hand down, the best dental office I have been to. I am on the extreme side of being a dental wimp, and I truly appreciate the patience and kindness of the staff as they really help me feel more comfortable at the dentist. Guadalupe was gentle with my cleaning and x-rays, distracted me with some great conversation, and had some good suggestions on how to get through it without hyperventilating or fainting.”
Kathryn Duder

